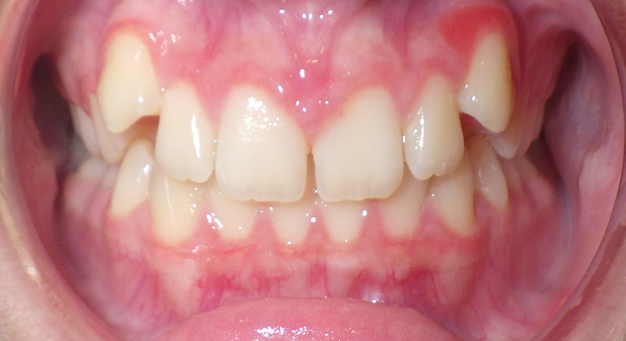
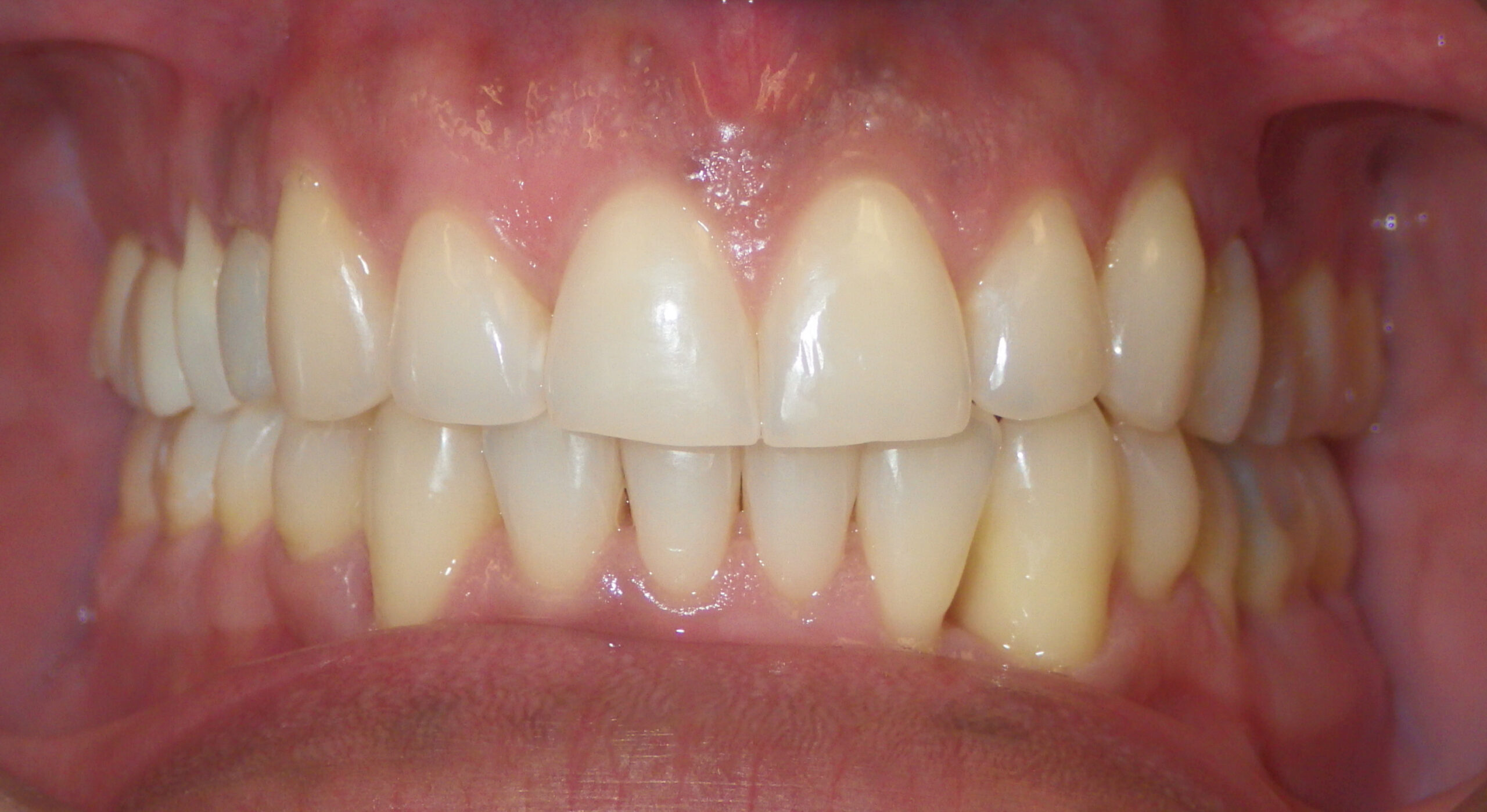
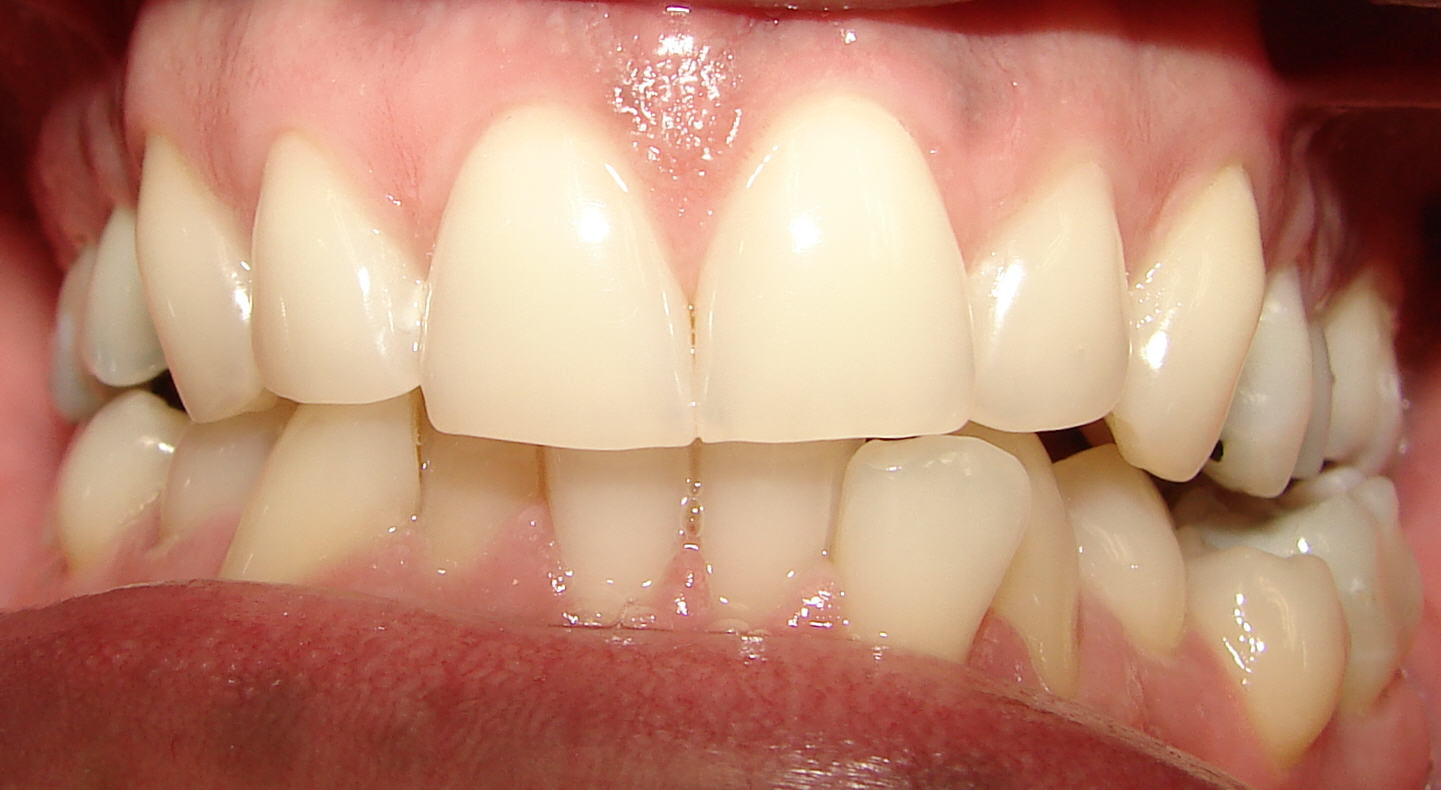
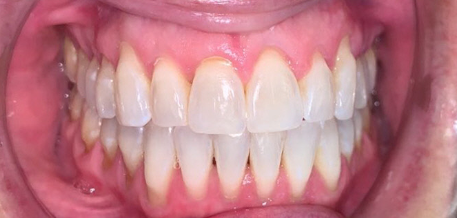
SMILE GALLERY
Smiles We’ve Helped Shape
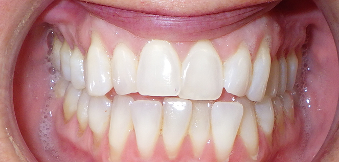
Every smile you see here belongs to a real patient treated at At Naidu Orthodontics in Pembroke Pines, These before and after photos highlight how thoughtful orthodontic care can improve alignment, balance, and confidence at every age.


REAL SMILES, REAL CONFIDENCE
Each smile journey is unique. Results vary based on individual needs, treatment plans, and timing—but the goal is always the same: healthy, confident smiles that last.
NOTE: Individual results may vary. Photos are shared with patient consent.
Find the Right Option for your smile
Early orthodontic guidance helps your child grow into a confident, healthy smile—from childhood to adulthood.

For Our Community, With Pride
Proudly serving Pembroke Pines for 20 years.
We’re proud to be part of the Pembroke Pines community—supporting local schools, fundraisers, and families who make this city shine.
Learn more


YOUR SMILE JOURNEY IS CLOSER THAN YOU THINK
First step toward the confident smile you deserve.

SCHEDULE YOUR Complimentary EXAM TODAY
Start Smiling today














